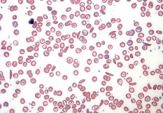
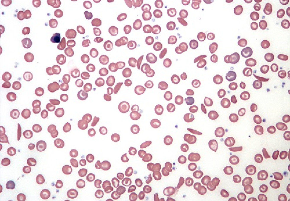
Le dépistage de la drépanocytose bientôt généralisé à l’ensemble des nouveau-nés français ?

28/10/2022 Par Mathilde Gendron
Pédiatrie Santé publique

Le Gouvernement a intégré un amendement au PLFSS prévoyant de généraliser le dépistage de la drépanocytose à tous les nouveau-nés français. Jusqu'ici, le dépistage était systématique seulement en Outre-mer.

 

"A titre expérimental, et pour une durée de trois ans, l'État peut autoriser la réalisation d’un dépistage néonatal de la drépanocytose de façon systématique et obligatoire", précise l’un des amendements intégrés par le Gouvernement au projet de loi de financement de la Sécurité sociale (PLFSS). Absente du projet initial, cette mention a été rajoutée, ce jeudi 27 octobre, par le Gouvernement qui a mis fin aux débats parlementaires en faisant usage du 49.3. 

Selon les chiffres du Gouvernement, la maladie touche près de 30.000 personnes en France. L’objectif de l‘Etat est d’augmenter le dépistage pour traiter le plus vite possible les patients atteints. Pour l’instant, le dépistage n’est généralisé que dans les territoires d’Outre-mer. Si l’amendement est définitivement adopté, il permettra de généraliser le dépistage en métropole également. 

Cette expérimentation - dont les modalités devront être établies par décret - pourrait être prolongée au-delà de trois ans et devenir définitive si elle est jugée probante. "Au plus tard six mois avant le terme de l'expérimentation, le Gouvernement remettra au Parlement un rapport d'évaluation, qui se prononcera notamment sur la pertinence d'une généralisation", précise l'amendement. 

Comptez vous fermer vos cabinets entre le 5 et le 15 janvier?

Claire FAUCHERY

Claire FAUCHERY

Oui

Oui et il nous faut un mouvement fort, restons unis pour l'avenir de la profession, le devenir des plus jeunes qui ne s'installero... Lire plus

1 débatteur en ligne1 en ligne
 
Vignette
Vignette

La sélection de la rédaction

Pédiatrie
Moins de médecins, moins de moyens, mais toujours plus de besoins : le cri d'alerte des professionnels de la...
06/11/2025
14
Concours pluripro
CPTS
Les CPTS renommées "communauté France santé" : Stéphanie Rist explique l'enjeu
07/11/2025
13
Podcast Histoire
"Elle était disposée à marcher sur le corps de ceux qui auraient voulu lui barrer la route" : le combat de la...
20/10/2025
0
Portrait Portrait
"La médecine, ça a été mon étoile du berger" : violentée par son père, la Pre Céline Gréco se bat pour les...
03/10/2025
6
Reportage Hôpital
"A l'hôpital, on n'a plus de lieux fédérateurs" : à Paris, une soirée pour renouer avec l'esprit de la salle...
14/10/2025
8
La Revue du Praticien
Diabétologie
HbA1c : attention aux pièges !
06/12/2024
2