FMC : 10 points clésDouleur arthrosique

Les traitements non pharmacologiques ont une place centrale dans la prise en charge.

22/09/2020 Par Dr Guy Scémama
  1. 01
    Point formation n°1

    L’arthrose concerne 9 à 10 millions de Français. C’est la première cause d’invalidité des plus de 40 ans et la deuxième cause de consultation chez le généraliste (derrière les maladies cardiovasculaires). Cependant, cette pathologie n’est pas exclusivement liée à l’âge, la détérioration du cartilage pouvant survenir à l’occasion de traumatismes de l’articulation. Et 35 % des malades ressentent des douleurs d’arthrose avant 40 ans.
    Le coût économique induit par l’arthrose est 7 fois supérieur à celui de la poly-arthrite rhumatoïde.

  2. 02

    L’arthrose est probablement une maladie résultant de facteurs héréditaires et de facteurs liés au mode de vie. L’usage excessif de certaines articulations pour des motifs sportifs ou professionnels, pendant de nombreuses années, favorise l’apparition de la maladie. L’obésité y contribue, en surchargeant les articulations des hanches, des genoux et des chevilles. Néanmoins, l’arthrose apparaît également chez des personnes qui ne présentent aucun de ces facteurs de risque.

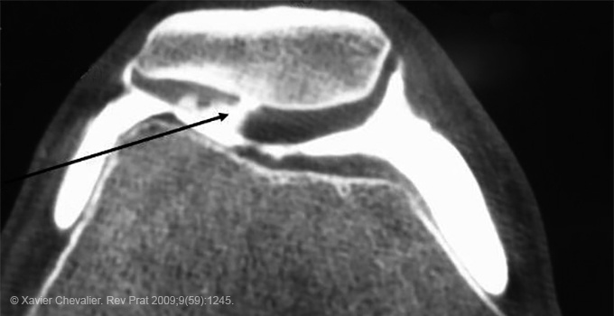
  3. 03

    Le diagnostic est posé dans 50 % des cas par le médecin généraliste, dans les deux ans qui suivent les premiers signes. La douleur est le principal symptôme qui amène au diagnostic. D’allure mécanique, elle débute progressivement et est souvent intermittente en début d’évolution. La maladie évolue par poussées, des épisodes douloureux alternant avec des périodes d’accalmie. Dans les stades avancés, la mobilité des articulations devient limitée, avec un retentissement sur la qualité de vie des patients.
    L’arthrose peut atteindre toutes les articulations ou seulement une partie, avec une prédominance au niveau des membres inférieurs (genoux, hanches), du rachis, des mains… Les radiographies standard peuvent être normales ou retrouver des lésions arthrosiques. Les imageries de type IRM sont réalisées en cas de doute diagnostique ou dans le cadre de la discussion d’une prise en charge chirurgicale.

  4. 04

    Pendant une poussée douloureuse, les mesures antalgiques simples, comme l’application de chaud ou de froid en fonction de chaque ressenti personnel, peuvent soulager les douleurs. Les aides techniques (orthèses nocturnes, semelles orthopédiques, canne de marche à porter du côté opposé au côté malade) sont utiles pour mettre au repos l’articulation touchée.

  5. 05

    Les mesures hygiéno-diététiques sont primordiales. Ainsi, la perte de quelques kilos (environ 5 % du poids) permet d’améliorer les douleurs et de protéger l’articulation. Entretenir une activité physique régulièrement est une des mesures phare à prendre lors d’une atteinte arthrosique en permettant de conserver une bonne amplitude articulaire et des mouvements. Les sports qui sollicitent les genoux (vélo, ski, course...) et la station debout prolongée doivent être évités.

  6. 06

    Prise en charge en rééducation : l’entretien musculaire, avec des étirements et un travail de posture, permet de conserver plus longtemps la mobilité et la stabilité articulaire. L’exercice physique doit être adapté en intensité selon l’importance de l’arthrose et doit être poursuivi sous la forme d’auto-exercices.

  7. 07

    Le paracétamol est l’antalgique de première intention. En cas d’inefficacité, la prescription d’antalgiques plus puissants est recommandée. Si la douleur est permanente, il est préférable de les prendre régulièrement tout au long de la journée plutôt que d’attendre que la douleur revienne. La durée du traitement doit être la plus courte possible.

  8. 08
    Point formation n°8

    Les anti-inflammatoires non stéroïdiens (AINS) permettent de soulager la poussée congestive d’arthrose. Ils peuvent être parfois utilisés en première intention. La durée du traitement par les AINS doit être la plus courte possible et sous couverture d’IPP, selon les recommandations usuelles. Plusieurs médicaments définis sous le terme d’antiarthrosiques symptomatiques d’action lente (AASAL) sont actuellement disponibles, ils n’agissent que sur les symptômes, mais leur efficacité reste encore, à l’heure actuelle, l’objet de controverse.

  9. 09

    Les infiltrations peuvent être utiles en cas de poussées quand le traitement médicamenteux n’est pas efficace, il s’agit notamment des infiltrations de corticoïdes ou d’acide hyaluronique. Les modalités dépendent de l’intensité de la symptomatologie douloureuse et du siège de l’atteinte.

  10. 10

    Le traitement chirurgical n’est utilisé que dans 10 % des cas, surtout dans certaines localisations, notamment la hanche et le genou lorsque la gêne fonctionnelle est trop importante, en particulier si elle empêche la marche.

Références :

- Coudeyre E. Recommandations pour la gonarthrose : toujours plus d’éducation et d’exercices. La Lettre du Rhumatologue 2015;409:22-4.

Le Dr Guy Scémama déclare n’avoir aucun lien d’intérêts concernant les données présentées dans cet article.

Dans la même spécialité

Arthrose digitale
formation
FMC Rhumatologie
Arthrose digitale : très fréquente et souvent handicapante
05/11/2025
Lombalgie : importance des facteurs socio-professionnels
formation
FMC Rhumatologie
Lombalgie : importance des facteurs socio-professionnels
17/07/2025
Arthrose : un traitement global
formation
FMC Rhumatologie
Arthrose : un traitement global
27/02/2025
Goutte : modalités de traitement de la crise et au long cours
formation
FMC Rhumatologie
Goutte : modalités de traitement de la crise et au long cours
18/09/2024
Ostéoporose - hygiène de vie
formation
FMC Rhumatologie
Ostéoporose : prévenir les fractures
23/04/2024