Drépanocytose : la HAS recommande le dépistage généralisé à la naissance

15/11/2022 Par Marielle Ammouche
Hématologie
La Haute Autorité de santé (HAS) recommande, dans un avis daté du 15 novembre, d’élargir le dépistage de la drépanocytose à l’ensemble des nouveau-nés. Jusqu’à présent, il était ciblé uniquement sur ceux ayant des parents issus de régions à risque (Antilles, Guyane, Réunion, Mayotte, Afrique subsaharienne, Brésil, Inde, Algérie, Tunisie, Maroc, Italie du Sud, Grèce, Turquie, Liban, etc).

 

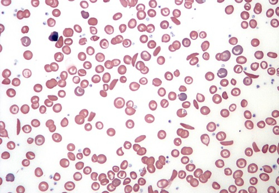
Or de nouvelles données épidémiologiques ont mis en évidence l’intérêt de cette nouvelle mesure. Ainsi, parmi les maladies dépistées à la naissance, la drépanocytose est la maladie génétique la plus fréquente. Et "c’est la seule maladie dépistée à la naissance dont l’incidence augmente régulièrement : 557 cas ont été dépistés en 2020 contre 412 en 2010", souligne la HAS. Son incidence progresse régulièrement : elle a atteint 1 nouveau-né sur 1323 en 2020. 

Le dépistage, tel qu’il est pratiqué actuellement, est très hétérogène sur le territoire, particulièrement centré en Ile-de-France, où plus de trois enfants sur quatre en bénéficient, contre à peine un sur deux à l’échelle nationale en 2020. Pour la HAS, le ciblage actuel n’est pas suffisant et comporte un risque d’erreur, avec à la clé, un risque de "perte de chance élevée pour ces enfants" dont la maladie peut avoir de lourdes conséquences. "La drépanocytose est, par exemple, la première cause d’accident vasculaire cérébral chez l’enfant, rappelle la HAS. Sans prise en charge précoce, le taux de mortalité infantile chez les enfants atteints de drépanocytose est très élevé." Le diagnostic précoce permet, en particulier, de procéder aux vaccinations qui limitent le risque infectieux, première cause de décès chez ces enfants. 

Une prise en charge précoce est ainsi nécessaire ; et le dépistage précoce est donc "indispensable", juge la HAS.  

En outre, tous les éléments pratiques sont présents pour un dépistage efficace et sûr : test "très performant" (aucun faux-positif signalé en 20 ans), facilité d’utilisation (même support [test de Guthrie] que les autres tests néonataux). La HAS précise que "les acteurs consultés sont unanimes sur l’intérêt d’élargir le dépistage de la drépanocytose à tous les nouveau-nés. Ils n’ont pas remis en cause la capacité d’adaptation du système de santé à l’augmentation du flux de tests de dépistage. Sur le plan éthique, ils ont souligné que la généralisation du dépistage remédiait au risque de stigmatisation des populations actuellement ciblées par le dépistage actuel".

Faut-il supprimer les ARS ?

Marie GILARDI

Marie GILARDI

Oui

Leur communication est opaque Ils ne comprennent rien au terrain Ils ont une logique comptable Ils ont et ont participé à la... Lire plus

1 débatteur en ligne1 en ligne
 
Vignette
Vignette

La sélection de la rédaction

Témoignage
"Ma concentration ne dépassait pas les 30 minutes" : médecin généraliste, elle raconte "l'enfer" de son burn...
15/04/2026
21
Enquête Gynécologie-Obstétrique
Mal payés, épuisés, trop exposés : les gynécologues désertent les maternités
02/04/2026
15
Psychiatrie
"La caisse me réclame plus de 40.000 euros" : le combat d'un psychiatre pour des prescriptions basées sur les...
08/04/2026
20
Maladies rares
Qu’est-ce que le syndrome de Moersch-Woltman, dont est atteinte Céline Dion ?
01/04/2026
14
Déontologie
"On m'a sali alors que je n'ai fait que rendre service" : un médecin retraité jugé pour avoir continué à...
10/03/2026
0
Chirurgie
Grands brûlés : les défis de la reconstruction cutanée
06/03/2026
3
La Revue du Praticien
Diabétologie
HbA1c : attention aux pièges !
06/12/2024
2