FMC : 10 points clésNævus conjonctival

Le nævus conjonctival est une tumeur bénigne diagnostiquée le plus souvent chez le sujet jeune, et qui nécessite un suivi régulier, car une transformation en mélanome malin est possible même si cela reste rare.

29/11/2016 Par Dr Pierre Francès
  1. 01
    Point formation n°1

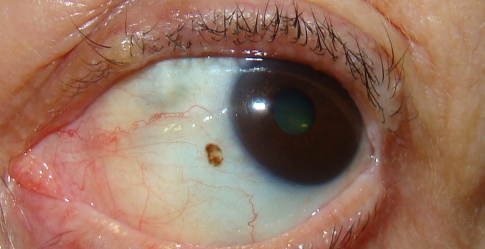
    Le nævus conjonctival est une tumeur fréquente au niveau de la conjonctive. Elle représente près de 30 % des tumeurs retrouvées à cette localisation, et sont objectivées, le plus souvent, chez les patients de phénotype caucasien. Ils peuvent apparaître cliniquement dans l’enfance ou l’adolescence.

  2. 02

    La localisation de ces formations la plus fréquente est la région juxtalimbique (du côté temporal et près de la fente palpébrale). Sa présence au niveau de la caroncule lacrymale (angle interne de l’oeil) et du repli semi-lunaire (en dehors de la caroncule) est plus rare.

  3. 03

    Le nævus est solitaire au niveau de la conjonctive. Trois types sont classiquement décrits :
    – le nævus jonctionnel (entre l’épithélium et le tissu conjonctif ) ;
    – le nævus sous-épithélial ;
    – le nævus composé (ou mixtes).

  4. 04

    Morphologiquement, ces formations peuvent prendre un aspect plan ou parfois en relief. Mais dans ce dernier cas la surélévation reste faible. Près de 50 % des nævi présentent un espace kystique creux donnant l’impression de pseudo-kyste.

  5. 05

    Leur pigmentation varie en fonction de l’âge. Ainsi près de 25 % d’entre eux sont amélanotiques (surtout chez les enfants). La pigmentation varie en fonction de plusieurs facteurs :
    – le caractère congénital de ces nævi ;
    – les modifications hormonales au décours de la grossesse ;
    – une exposition intense au soleil.
    En outre, un changement de pigmentation peut être observé dans près de 25 % des cas lors d’une inflammation, ou en cas d’activité intense des mélanophages.

  6. 06

    La taille des nævi a tendance à augmenter avec l’âge. Cette évolution se fait généralement à partir de la puberté.

  7. 07

    Il existe une forme clinique en rapport avec la présence de kystes volumineux qui donne un aspect de tumeur de Parinaud. Cette dernière se caractérise par une association d’un nævus composé et d’invaginations épithéliales de la conjonctive sous-jacente. Il s’agit d’une formation dysembryoplasique bénigne.

  8. 08
    Point formation n°8

    Histologiquement, les cellules profondes des nævi conjonctivaux jonctionnels ou mixtes ne sont pas pigmentées. Les différences entre les nævi conjonctivaux et les nævi cutanés sont constituées par l’absence d’évolution neuroïde en profondeur, ainsi qu’une involution fibreuse dans les nævi conjonctivaux.

  9. 09

    L’évolution peut se caractériser par une transformation maligne. Certains éléments doivent y faire penser :
    – une localisation peu fréquente de cette tumeur ;
    – un développement au niveau de la cornée important ;
    – la mise en évidence d’une vascularisation intense ;
    – une transformation (taille surtout) brutale.
    Cependant, la transformation en mélanome malin reste rare (et ce même si les mélanomes conjonctivaux ont pour point de départ un nævus conjonctival dans 50 % des cas).

  10. 10

    Le traitement consiste dans un premier temps en une abstention thérapeutique pour les nævi dont la taille reste identique au fil des consultations. Une surveillance rigoureuse doit être entreprise (recours aux clichés photographiques) pour être sûr de ne pas passer à côté d’une transformation maligne. Une excision de ces formations est effectuée devant toute suspicion de malignité ou pour des raisons esthétiques. En cas de transformation, le taux de mortalité reste heureusement faible (20 %).

Références :

- Kanski JJ. Précis d’ophtalmologie clinique. Éd. Elsevier Masson 2012.
- Lang GK. Atlas de poche en couleurs. Ophtlamologie. Éd. Maloine 2002.
- Mandava S, Sweeney T, Guyer D. Atlas de poche d’ophtalmologie. Éd. Flammarion Médecine-Sciences 2001.
- Zembowiez A, Mandal RV, Choopong P. Melanocytic lesion of the conjunctiva. Archives of Pathology and Laboratory Medicine 2010; 134(12):1785-92.

Le Dr Pierre Francès déclare n’avoir aucun lien d’intérêts concernant les données présentées dans cet article.